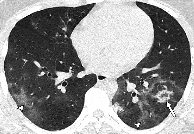
Μια εικόνα-χίλιες λέξεις στην οποία φαίνονται οι βλάβες που έχει προκαλέσει ο κοροναϊός στους πνεύμονες ανήλικων ασθενών οι οποίοι ΔΕΝ είχαν υποκείμενα νοσήματα ανήρτησε στον προσωπικό του λογαριασμό στο Facebook ο επίκουρος καθηγητής στο Τμήμα Υγιεινής και Επιδημιολογίας της Ιατρικής Σχολής του ΕΚΠΑ και μέλος της επιτροπής των εμπειρογνωμόνων, Γκίκας Μαγιορκίνης.
«Με το εμβόλιο προστατεύουμε τους πνεύμονές μας από βαρύτατη καταπόνηση», καταλήγει στην ανάρτησή του ο κ. Μαγιορκίνης.
Η ανάρτηση του Γκίκα Μαγιορκίνη
«Μία εικόνα χίλιες λέξεις. Αξονικές τομογραφίες νέων κάτω από 18 έτη με Covid-19 (18 ετών, 15 ετών, 14 ετών και 8 ετών). Κανένας ασθενής δεν είχε υποκείμενα νοσήματα ή ανοσοκαταστολή. Οι ασθενείς δεν χρειάστηκαν συμπληρωματικό οξυγόνο, διασωλήνωση ή ΜΕΘ. Πρόκειται για απλά-κοινά περιστατικά Covid-19. Ωστόσο έχουν πολύ «εντυπωσιακές» βλάβες και είναι άγνωστο τι θα προκαλέσουν αυτές οι βλάβες σε βάθος χρόνου. Για την πλειονότητα του κόσμου το ερώτημα είναι απλό: Θέλουν να υποβάλουν τους πνεύμονές τους σε αυτές τις βλάβες για να δουν αν αντέχουν; Και αν αντέξουν την πρόκληση (όπως προβλέπεται ότι θα αντέξουν οι περισσότεροι νέοι) θέλουν να δουν πόσα χρόνια ή αντοχές έχασαν στην πορεία; Με το εμβόλιο προστατεύουμε τους πνεύμονές μας από βαρύτατη καταπόνηση».







