Μια γυναίκα έφθασε τα 24 χρόνια της χωρίς κανείς να συνειδητοποιήσει ότι είχε ένα… σημαντικό κενό στον εγκέφαλο. Για την ακρίβεια η γυναίκα αυτή γεννήθηκε χωρίς παρεγκεφαλίδα, γεγονός άκρως σπάνιο το οποίο δείχνει για άλλη μια φορά πόσο προσαρμοστικός είναι ο εγκέφαλός μας ανάλογα με τις συνθήκες που καλείται να αντιμετωπίσει προκειμένου να επιβιώσει.
Η απίστευτη ανακάλυψη
Η ανακάλυψη σχετικά με το κενό στον εγκέφαλο της νεαρής γυναίκας έγινε όταν εκείνη εισήχθη στο Κινεζικό Γενικό Νοσοκομείο PLA της επαρχίας Σαντόνγκ με ζαλάδες και ναυτία. Η ασθενής ανέφερε στους γιατρούς ότι είχε προβλήματα ισορροπίας κατά το μεγαλύτερο μέρος της ζωής της ενώ η μητέρα της σημείωσε ότι το παιδί της περπάτησε για πρώτη φορά στα επτά έτη του ενώ η ομιλία του ήταν ακατάληπτη μέχρι τα έξι χρόνια του.
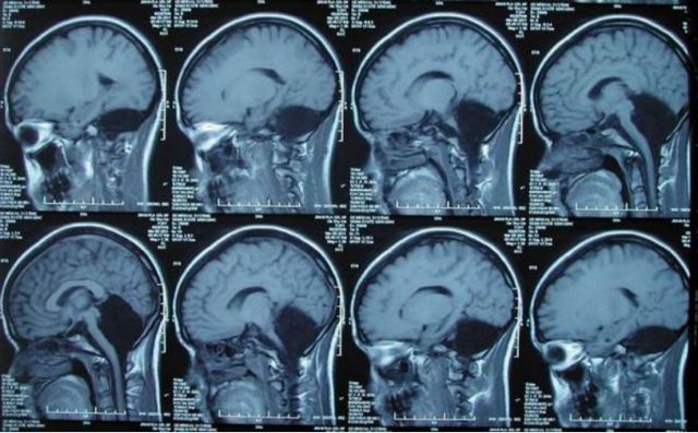
Οι γιατροί διεξήγαγαν αξονική τομογραφία στην ασθενή και εντόπισαν την πηγή του προβλήματος αμέσως – έλειπε ολόκληρη η παρεγκεφαλίδα της. Το σημείο στο οποίο έπρεπε να βρίσκεται η παρεγκεφαλίδα δεν έφερε άλλους ιστούς αλλά ήταν γεμάτο με εγκεφαλονωτιαίο υγρό, το οποίο λειτουργεί ως «ασπίδα» του εγκεφάλου ενάντια στις ασθένειες.
Η μικρή αλλά πολύτιμη παρεγκεφαλίδα
Η παρεγκεφαλίδα, που ορισμένες φορές αποκαλείται «μικρός εγκέφαλος», βρίσκεται κάτω από τα δύο ημισφαίρια του εγκεφάλου. Στην όψη είναι διαφορετική από τον υπόλοιπο εγκέφαλο καθώς αποτελείται από πολύ μικρότερα και πιο συμπαγή στρώματα ιστών. Αντιπροσωπεύει περίπου το 10% του συνολικού όγκου του εγκεφάλου αλλά περιέχει το 50% των νευρώνων του.
Παρότι δεν είναι πρωτάκουστο να λείπει κάποιο τμήμα του εγκεφάλου από έναν άνθρωπο – είτε λόγω συγγενούς νοσήματος είτε εξαιτίας επέμβασης – η γυναίκα στην Κίνα ανήκει σε ένα πολύ κλειστό κλαμπ που αριθμεί μόλις εννέα μέλη (πρόκειται για ανθρώπους που ζουν χωρίς την παρεγκεφαλίδα τους). Μια λεπτομερής περιγραφή σχετικά με το πώς η διαταραχή επηρεάζει έναν ενήλικο άνθρωπο δεν υφίσταται, και αυτό διότι, όπως αναφέρουν οι γιατροί του κινεζικού νοσοκομείου, τα περισσότερα άτομα χωρίς παρεγκεφαλίδα πεθαίνουν σε πολύ μικρή ηλικία και τελικώς το κενό στον εγκέφαλό τους φαίνεται από τη νεκροψία.
Το κύριο καθήκον της παρεγκεφαλίδας είναι να ελέγχει τις εκούσιες κινήσεις και την ισορροπία ενώ επίσης πιστεύεται ότι εμπλέκεται στην εκμάθηση κινήσεων και στην ομιλία. Προβλήματα στην παρεγκεφαλίδα μπορούν να οδηγήσουν σε σοβαρή ψυχική και νοητική διαταραχή, σε διαταραχές της κίνησης, σε επιληψία αλλά και σε εν δυνάμει θανατηφόρα συσσώρευση υγρού στον εγκέφαλο.
Η απίστευτη πλαστικότητα του εγκεφάλου
Ωστόσο σε αυτή τη γυναίκα η έλλειψη παρεγκεφαλίδας οδήγησε μόνο σε ήπια προβλήματα κινητικότητας και ομιλίας όπως μικρές δυσκολίες στην προφορά των λέξεων. Οι γιατροί της 24χρονης περιγράφουν ότι οι επιδράσεις από την έλλειψη της παρεγκεφαλίδας ήταν λιγότερες από το αναμενόμενο και τονίζουν πως η περίπτωση αυτή δείχνει την απίστευτη πλαστικότητα του εγκεφάλου.
«Αυτού του είδους οι σπάνιες περιπτώσεις είναι ενδιαφέρουσες καθώς μας βοηθούν να κατανοήσουμε πώς λειτουργεί το κύκλωμα του εγκεφάλου και πώς αντισταθμίζει τις όποιες απώλειές του» ανέφερε ο Μάριο Μάντο που ειδικεύεται στις διαταραχές της παρεγκεφαλίδας στο Ελεύθερο Πανεπιστήμιο των Βρυξελλών στο Βέλγιο. Μάλιστα οι γιατροί της νεαρής υποπτεύονται ότι τη λειτουργία της απούσας παρεγκεφαλίδας ανέλαβε ο φλοιός – αναμένονται ωστόσο ειδικές απεικονιστικές εξετάσεις του εγκεφάλου για να αποδειχθεί αν η υποψία αυτή ευσταθεί.



