Ερευνητές της Ιατρικής Σχολής του Πανεπιστημίου Γέιλ ανακάλυψαν ότι ένα μόριο RNA το οποίο ενεργοποιεί το σύστημα πρώιμης άμυνας του οργανισμού ενάντια στους ιούς μπορεί να προστατεύσει ποντίκια από ένα εύρος αναδυόμενων στελεχών του νέου κορωνοϊού.
Η νέα μελέτη που δημοσιεύθηκε στην επιθεώρηση «Journal of Experimental Medicine (JEM) ανοίγει τον δρόμο για νέες θεραπείες ενάντια στην COVID-19 αλλά και για μια φθηνή θεραπευτική προσέγγιση για τις αναπτυσσόμενες χώρες οι οποίες στην πλειονότητά τους δεν έχουν αυτή τη στιγμή μεγάλη πρόσβαση σε εμβόλια.
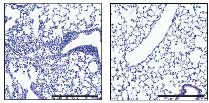
Σε σύγκριση με ποντίκια που έλαβαν εικονική θεραπεία (αριστερά), η θεραπεία με το RNA μόριο SLR14 (δεξιά) μείωσε τα σημάδια φλεγμονής και πνευμονίας στους πνεύμονες των μολυσμένων με SARS-CoV-2 ποντικιών
CREDIT
Mao et al., Journal of Experimental Medicine
Οι περιορισμοί των εμβολίων
Παρότι τα εγκεκριμένα εμβόλια ενάντια στον SARS-CoV-2 είναι άκρως αποτελεσματικά σε ό,τι αφορά την πρόληψη σοβαρής νόσησης και θανάτου εξαιτίας της COVID-19, η διαθεσιμότητά τους είναι άκρως περιορισμένη σε πολλές αναπτυσσόμενες χώρες. Παράλληλα υπάρχει πάντα ο κίνδυνος εμφάνισης νέων στελεχών του ιού που θα ανθίστανται στα εμβόλια. Επιπλέον η αποτελεσματικότητα των υπαρχόντων εμβολίων έχει ήδη αποδειχθεί ότι είναι μειωμένη στους ανοσοκατεσταλμένους ασθενείς οι οποίοι δεν μπορούν να παραγάγουν μετά τον εμβολιασμό επαρκή αριθμό αντισωμάτων ή Τ κυττάρων τα οποία στοχεύουν συγκεκριμένα την πρωτεΐνη-ακίδα του SARS-CoV-2. Ετσι οι ασθενείς αυτοί είναι ευάλωτοι στη λοίμωξη με τον νέο κορωνοϊόκαι τις πιθανές επιπλοκές της.
«Για όλους αυτούς τους λόγους, σε συνδυασμό με τη χρήση των εμβολίων, απαιτούνται προσπάθειες για την ανάπτυξη αποτελεσματικών θεραπειών ενάντια στον SARS-CoV-2» ανέφερε η Ακίκο Ιβασάκι, καθηγήτρια στην Ιατρική Σχολή του Γέιλ και επικεφαλής των ερευνητών.
Οι ιντερφερόνες και ο ρόλος τους
Η πρώτη γραμμή άμυνας του οργανισμού ενάντια στον SARS-CoV-2 – πριν από τα αντισώματα και τα Τ κύτταρα – θεωρείται ότι εξαρτάται από μόρια-υποδοχείς όπως το RIG-I που αναγνωρίζουν το γενετικό υλικό του ιού και οδηγούν στην παραγωγή πρωτεϊνών σήμανσης που είναι γνωστές ως ιντερφερόνες τύπου Ι. Αυτές οι ιντερφερόνες με τη σειρά τους προάγουν την παραγωγή πρωτεϊνών οι οποίες σταματούν τον πολλαπλασιασμό του ιού και οδηγούν στη στρατολόγηση ανοσοκυττάρων με στόχο να καταπολεμηθεί η λοίμωξη.
Μεγάλο κόστος παραγωγής
Πολλές και διαφορετικές μελέτες έχουν δείξει ότι η πρώιμη και ισχυρή παραγωγή ιντερφερονών προστατεύει από την COVID-19, ενώ η καθυστερήμενη παραγωγή τους συνδέεται με σοβαρή νόσο. Οπως προέκυψε από κλινική δοκιμή, η θεραπεία με ιντερφερόνη ασθενών με COVID-19 πρώιμου σταδίου μείωσε τη θνητότητα – πρέπει ωστόσο να σημειωθεί ότι η βιομηχανική παραγωγή ιντερφερονών είναι πάρα πολύ ακριβή.
Η φθηνότερη εναλλακτική
Στη νέα μελέτη στην επιθεώρηση JEM η δρ Ισαβάκι και οι συνεργάτες της προτείνουν μια φθηνότερη εναλλακτική: τη θεραπεία των ασθενών με μικρά μόρια RNA τα οποία μιμούνται το γενετικό υλικό του SARS-CoV-2 και ενεργοποιούν τον υποδοχέα RIG-I ώστε να πυροδοτήσει την παραγωγή ιντερφερονών τύπου Ι από τα ίδια τα κύτταρα του οργανισμού.

Η επιτυχημένη δοκιμή σε ποντίκια
Οι ερευνητές δοκίμασαν την προσέγγισή τους αυτή σε ποντίκια που ήταν ευάλωτα στη μόλυνση με τον νέο κορωνοϊό. Οπως προέκυψε, μια μόνο δόση ενός μορίου RNA που ονομάζεται SLR14 ήταν αρκετή για να προστατεύσει τα ποντίκια από σοβαρή νόσο και θάνατο, ιδίως όταν η θεραπεία χορηγείτο ελάχιστα πριν ή σύντομα μετά την έκθεση στον ιό. Μάλιστα όταν η συγκεκριμένη θεραπεία χορηγήθηκε αμέσως μετά τη μόλυνση αποδείχθηκε πιο αποτελεσματική από τη χορήγηση θεραπείας ιντερφερόνης, είδαν οι επιστήμονες.
Προστασία από όλα τα στελέχη του SARS–CoV-2
Ηταν αξιοσημείωτο ότι το SLR14 προστάτευσε τα ποντίκια από όλα τα υπάρχοντα και αναδυόμενα στελέχη του SARS-CoV-2, συμπεριλαμβανομένου του στελέχους Δέλτα που λόγω της υψηλής μεταδοτικότητάς του έχει καταστεί κυρίαρχο σε πολλές χώρες του κόσμου, μεταξύ των οποίων και η Ελλάδα.
Εξαφάνιση του ιού σε ανοσοκατεσταλμένα πειραματόζωα
Τέλος οι ερευνητές μελέτησαν τη δράση του SLR14 σε ανοσοκατεσταλμένα ποντίκια που εμφάνιζαν χρόνια λοίμωξη με τον νέο κορωνοϊό. Οπως φάνηκε, το μόριο του RNA εξαφάνισε πλήρως τον ιό από τον οργανισμό των ζώων παρότι εκείνα παρουσίαζαν έλλειψη τόσο των Τ κυττάρων όσο και των Β κυττάρων που είναι υπεύθυνα για την παραγωγή αντισωμάτων.
Πολλά υποσχόμενη νέα θεραπευτική κατηγορία
Οπως ανέφερε η δρ Ιβασάκι, μόρια RNA όπως το SLR14 είναι σχετικώς φθηνά και εύκολα στο να παραχθούν.«Ετσι το SLR14 φαίνεται πολλά υποσχόμενο ως μια νέα κατηγορία θεραπείας RNA που μπορεί να χρησιμοποιηθεί ως αντι-ιική θεραπεία ενάντια στον SARS–CoV-2». Η καθηγήτρια κατέληξε τονίζοντας πως «με δεδομένο ότι αυτή η βασισμένη στο RNA θεραπευτική προσέγγιση είναι απλή και ‘ευέλικτη’, η μελέτη μας μπορεί να διευκολύνει την προετοιμασία για την απόκριση ενάντια στα μελλοντικά παθογόνα του αναπνευστικού τα οποία είναι ευαίσθητα στις ιντερφερόνες τύπου Ι».



