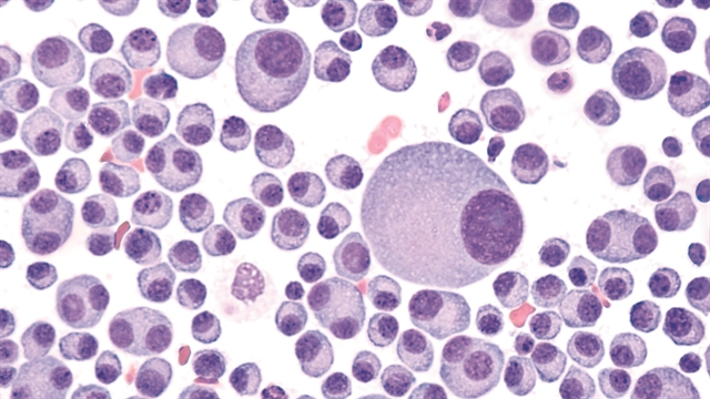
Στις αρχές της εβδομάδας, η κυρία Ντόρα Μπακογιάννη μοιράστηκε με όλους τους Ελληνες την είδηση ότι διαγνώσθηκε με πολλαπλό μυέλωμα. Ενα είδος αιματολογικού καρκίνου για την αντιμετώπιση του οποίου, ευτυχώς, οι γιατροί έχουν πολλά όπλα στη φαρέτρα τους.
Περιεχόμενο για συνδρομητές
Το παρόν άρθρο, όπως κι ένα μέρος του περιεχομένου από tovima.gr, είναι διαθέσιμο μόνο σε συνδρομητές.



