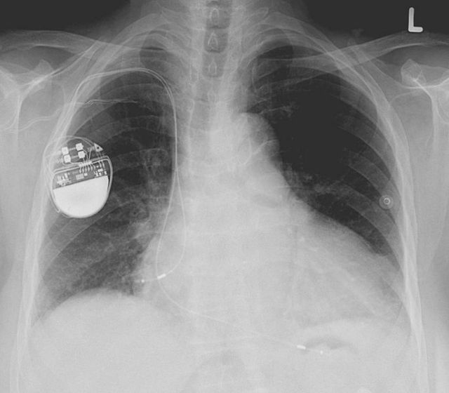
Όταν η κλασική νεκροψία αποτυγχάνει, οι βηματοδότες και άλλες εμφυτεύσιμες συσκευές που συνδέονται στην καρδιά είναι δυνατό να αποκαλύψουν τον χρόνο και την αιτία του θανάτου του κατόχου τους, διαπιστώνουν οι γιατροί.
«Χείρα βοηθείας» στην ιατροδικαστική επιστήμη
Ερευνητές στη Γερμανία, με επικεφαλής τον καρδιολόγο Φιλίπ Λακούρ του Πανεπιστημιακού Νοσοκομείου Charite του Βερολίνου, ανακοίνωσαν σε συνέδριο της Ευρωπαϊκής Εταιρείας Καρδιολογίας ότι οι συσκευές αυτές προσφέρουν χείρα βοηθείας στην ιατροδικαστική επιστήμη.
Η ερευνητική ομάδα ανέλυσε στοιχεία για πάνω από 5.000 νεκροψίες, από τις οποίες οι 150 αφορούσαν ανθρώπους που είχαν στην καρδιά τους κάποια συσκευή: οι περισσότεροι βηματοδότη (107) ή απινιδωτή (22).
Διαπιστώθηκε μετά από ηλεκτροφυσιολογικό έλεγχο των συσκευών, ότι ήταν δυνατό στα τρία τέταρτα των περιπτώσεων (76%) να προσδιορισθεί ο χρόνος του θανάτου με χρήση των δεδομένων της συσκευής. Στην περίπτωση ταχυκαρδίας τη στιγμή του θανάτου, ο χρόνος που αυτός επήλθε, ήταν δυνατό να καθορισθεί με ακρίβεια λεπτού.
Επίσης, ήταν εφικτό να βρεθεί η αιτία του θανάτου -από βραδυκαρδία, ταχυκαρδία, κοιλιακή μαρμαρυγή κ.ά.- στο ένα τέταρτο των περιπτώσεων (24%). Αν η αιτία θανάτου ήταν μια αρρυθμία λόγω ταχυκαρδίας, τότε ήταν ευκολότερο να καταγραφεί από τη συσκευή.
Στο 7% των περιπτώσεων, ο θάνατος προκλήθηκε από δυσλειτουργία της ίδιας της συσκευής -είτε του υλικού είτε του λογισμικού της (π.χ. δεν αναγνώρισε την αρρυθμία, όταν αυτή συνέβη).
Μείωση του αριθμού ανεπίλυτων περιστατικών στο μισό
«Στην ιατροδικαστική, περίπου το 30% των περιστατικών παραμένουν ανεπίλυτα, επειδή ο χρόνος και η αιτία του θανάτου είναι ασαφείς ακόμη και μετά τη νεκροψία. Καθώς ο αριθμός των εμφυτευμένων στην καρδιά συσκευών με εξελιγμένες διαγνωστικές λειτουργίες συνεχώς αυξάνεται, μπορούν αυτές να μας βοηθήσουν να φωτίσουμε τέτοιες δύσκολες περιπτώσεις» δήλωσε ο Λακούρ.
Σύμφωνα με τους ερευνητές, με τη βοήθεια των εμφυτευμένων συσκευών, το ποσοστό των ανεπίλυτων ιατροδικαστικών περιστατικών μειώνεται κατά το ήμισυ, από 30% σε 15% περίπου.
Newsroom ΔΟΛ



