Επιστήμονες κατάφεραν για πρώτη φορά να προσδιορίσουν χρονικά το ιστορικό του καρκίνου στον οργανισμό ενός ασθενούς, αναγνωρίζοντας συγκεκριμένες ημερομηνίες για τα διαφορετικά στάδια εξέλιξης της νόσου, από το αρχικό στάδιο έως τον θάνατο.
Ένας ηλικιωμένος Ιάπωνας έγινε ο πρώτος άνθρωπος στον κόσμο στον οποίο εμφυτεύθηκαν αναπρογραμματισμένα βλαστικά κύτταρα από δωρητή, προκειμένου να θεραπευθεί από την εκφύλιση ωχράς κηλίδας, σύμφωνα με άρθρο του Nature.
Μια 70χρονη ασθενής πέθανε στις ΗΠΑ από σηπτικό σοκ λόγω ενός βακτηρίου που αποδείχθηκε ανθεκτικό και στα 26 αντιβιοτικά που δοκίμασαν οι γιατροί. Πιθανότατα είχε μολυνθεί κατά την παραμονή της στην Ινδία, μια χώρα όπου το πρόβλημα της μικροβιακής ανθεκτικότητας δείχνει να έχει βγει εκτός ελέγχου.
Την καρδιά να πάλλεται σε «extreme 4D» αποκαλύπτει το νέο λογισμικό της General Electric Healthcare, το οποίο πραγματοποιεί την απεικόνιση των οργάνων του ανθρώπινου οργανισμού σε τέσσερις διαστάσεις.
Η παράξενη πάθηση αναφέρθηκε για πρώτη φορά στη βιβλιογραφία μόλις το 2010, έκτοτε όμως έχουν εμφανιστεί αρκετά ακόμα περιστατικά: υγιείς κατά τα άλλα άνθρωποι που απλά αδυνατούν να φέρουν εικόνες στο μυαλό τους, είτε πρόκειται για το ηλιοβασίλεμα είτε για τα πρόσωπα των αγαπημένων τους.
Για τους λάτρεις του υγρού στοιχείου, ένα σπίτι κοντά ή πάνω στο νερό αποτελεί όνειρο. Το Water Nest 100 σχεδιάστηκε για να το εκπληρώσει.
Είναι μια πρωτοφανής περίπτωση στα ιατρικά χρονικά: η γυναίκα στην οποία ανακαλύφθηκε μια σπάνια γενετική ασθένεια τη δεκαετία του 1960 ζει πλέον υγιής χάρη στην αυθόρμητη διάσπαση ενός χρωμοσώματος στα κύτταρά της.
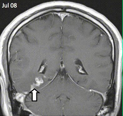
Τέσσερα χρόνια χρειάστηκαν μέχρι να ανακαλύψουν οι γιατροί τι συνέβαινε στο κεφάλι ενός 50χρονου κινέζου με περίεργα νευρολογικά συμπτώματα: ένα παρασιτικό σκουλήκι ταινία σερνόταν μέσα στον εγκέφαλό του. Το περιστατικό είναι σπάνιο, όχι όμως μοναδικό.
Βρετανοί γιατροί χρησιμοποίησαν τα αναγκαία εμφυτεύματα και εξαρτήματα, που εκτύπωσαν σε τρισδιάστατο εκτυπωτή, για να αποκαταστήσουν το πρόσωπο ενός ασθενούς που είχε υποστεί σοβαρούς τραυματισμούς και παραμόρφωση μετά από ένα ατύχημα με τη μοτοσικλέτα του.
Μια μέθοδος επί έτη παρεξηγημένη, μια νευροεκφυλιστική νόσος για την οποία δεν υπάρχει οριστική, αποτελεσματική θεραπεία ενώ εκείνη συνεχίζει να προκαλεί τρόμο (κυριολεκτικώς και μεταφορικώς)