Θλίψη στο Πανελλήνιο σκορπά ο θάνατος της μικρής Αναστασίας, η οποία έφυγε από τη ζωή σε ηλικία επτά ετών μετά από μάχη με τον καρκίνο.
Την δυσάρεστη είδηση έκανε γνωστή η μητέρα της μικρής Αναστασίας και αδελφή της Έρρικας Πρεζεράκου με ένα μήνυμα γροθιά στο στομάχι στο facebook.
Η μικρή Αναστασία διαγνώστηκε με την πλέον πιο επιθετική μορφή παιδικού καρκίνου -γνωστή και ως dipg-, διάχυτο γλοίωμα εγκεφαλικού στελέχους, με ιδιαίτερα δυσμενή πρόγνωση.
Στην Ελλάδα οι γιατροί είπαν ότι της απομένουν έξι μήνες ζωής.
Το Διάχυτο Διηθητικό Γλοίωμα Γέφυρας (ΔΔΓΓ) είναι ένας εξαιρετικά επιθετικός και δύσκολα αντιμετωπίσιμος εγκεφαλικός όγκος που βρίσκεται στη βάση του εγκεφάλου.
Ανήκει στα γλοιώματα, που σημαίνει ότι προέρχεται από το φυσιολογικό ιστό του εγκεφάλου που αποτελείται από κύτταρα που βοηθούν στην υποστήριξη και προστασία των νευρώνων του εγκεφάλου.
Αυτοί οι όγκοι βρίσκονται σε μια περιοχή του εγκεφαλικού στελέχους (το χαμηλότερο τμήμα του εγκεφάλου πριν το νωτιαίο μυελό) που ονομάζεται γέφυρα, το οποίο ελέγχει πολλές από τις πιο ζωτικές λειτουργίες του σώματος, όπως την αναπνοή, την αρτηριακή πίεση και τον καρδιακό ρυθμό.
Τα Διάχυτα Διηθητικά Γλοιώματα της Γέφυρας αντιπροσωπεύουν το 10% όλων των παιδικών όγκων του κεντρικού νευρικού συστήματος. Περίπου 300 παιδιά στις Η.Π.Α. διαγιγνώσκονται κάθε χρόνο με ΔΔΓΓ.
Ενώ τα ΔΔΓΓ διαγιγνώσκονται συνήθως όταν τα παιδιά είναι ηλικίας μεταξύ 5 και 9 ετών, μπορούν να εμφανιστούν σε οποτεδήποτε κατά τη διάρκεια της παιδικής ηλικίας. Αυτοί οι όγκοι εμφανίζονται εξίσου σε αγόρια και κορίτσια και γενικά δεν εμφανίζονται σε ενήλικες.
Ταξινόμηση του Διάχυτου Διηθητικού Γλοιώματος της Γέφυρας (ΔΔΓΓ)
Υπάρχουν τέσσερα στάδια ή «βαθμοί» κακοήθειας γλοιωμάτων, ανάλογα με το πώς τα κύτταρα φαίνονται κάτω από μικροσκόπιο. Ξεκινώντας από τα λιγότερο σοβαρά μέχρι τα πιο σοβαρά, αυτά είναι:
Χαμηλός βαθμός
Βαθμός Ι (πιλοκυτταρικά)
βαθμός ΙΙ (ινώδη)
Υψηλός βαθμός
βαθμός ΙΙΙ (αναπλαστικά)
βαθμού IV (πολύμορφο γλοιοβλάστωμα)
Όταν τα ΔΔΓΓ υποβάλλονται σε βιοψία, είναι συνήθως βαθμού ΙΙΙ ή βαθμού IV. Περιστασιακά, είναι βαθμού ΙΙ, αλλά λόγω της θέσης τους στον εγκέφαλο εξακολουθούν να θεωρούνται κακοήθη. Τα Διάχυτα Διηθητικά Γλοιώματα της Γέφυρας συνήθως συμπεριφέρονται όπως οι όγκοι πολύμορφου γλοιοβλαστώματος βαθμού IV. Είναι πολύ επιθετικοί όγκοι και αναπτύσσονται εισβάλλοντας στον γειτονικό κανονικό ιστό του εγκεφάλου.

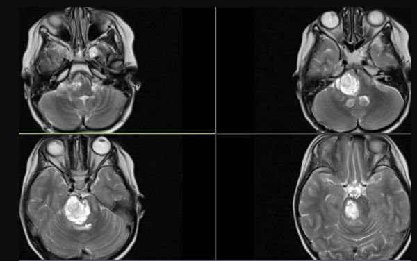
Εγκάρσιες τομές Μαγνητικής Τομογραφίας ασθενούς 6 ετών με ΔΔΓΓ
Αιτίες και τα συμπτώματα
Για μεγάλο χρονικό διάστημα, λίγα ήταν κατανοητά για τα Διάχυτα Διηθητικά Γλοιώματα της Γέφυρας επειδή οι κλινικοί γιατροί φοβόντουσαν ότι τα DIPG δεν θα μπορούσαν να υποβληθούν σε βιοψία με ασφάλεια. Ωστόσο, πρόσφατες και συνεχιζόμενες έρευνες έχουν οδηγήσει σε σημαντικές ανακαλύψεις και μαθαίνουμε περισσότερα για ορισμένες γενετικές μεταλλάξεις που μπορεί να προκαλούν την εμφάνιση των ΔΔΓΓ.
Τα συμπτώματα των ΔΔΓΓ αναπτύσσονται συνήθως πολύ γρήγορα πριν από τη διάγνωση, αντανακλώντας την ταχεία ανάπτυξη αυτών των όγκων. Οι περισσότεροι ασθενείς αρχίζουν να εμφανίζουν συμπτώματα λιγότερο από τρεις μήνες – και συχνά λιγότερο από τρεις εβδομάδες – πριν από τη διάγνωση. Τα πιο συνηθισμένα συμπτώματα περιλαμβάνουν:
- Ταχεία ανάπτυξη προβλημάτων που αφορούν τον έλεγχο στις κινήσεις των ματιών, τις εκφράσεις του προσώπου, την ομιλία, το μάσημα και την κατάποση (λόγω προβλημάτων στα κρανιακά νεύρα)
- Αδυναμία στα χέρια και τα πόδια
- Προβλήματα με το περπάτημα και το συντονισμό
- Υδροκεφαλία και συμπτώματα αυξημένης ενδοκρανίου πιέσεως
Διάγνωση
Το πρώτο βήμα για τη θεραπεία του παιδιού σας αποτελεί μια ακριβή και πλήρη διάγνωση. Το Διάχυτο Διηθητικό Γλοίωμα Γέφυρας συνήθως διαγιγνώσκεται από μελέτες απεικόνισης.
Η Μαγνητική Τομογραφία του Εγκεφάλου αποτελεί τη μέθοδο με την καλύτερη απεικονιστική δυνατότητα. Αποτελεί μια διαγνωστική διαδικασία που χρησιμοποιεί ένα συνδυασμό μεγάλων μαγνητών, ραδιοσυχνοτήτων και υπολογιστή για την παραγωγή λεπτομερών εικόνων οργάνων και δομών μέσα στο σώμα.

Στεφανιαία τομή Μαγνητικής Τομογραφίας ασθενούς 6 ετών με ΔΔΓΓ
Η μαγνητική τομογραφία παρέχει μεγαλύτερη ανατομική λεπτομέρεια από την αξονική τομογραφία και κάνει καλύτερη διάκριση μεταξύ των όγκων, του οιδήματος που σχετίζεται με τους όγκους και τον φυσιολογικό ιστό.
Φασματοσκοπία μαγνητικού συντονισμού (MRS) – είναι μία εξέταση που διεξάγεται μαζί με μια μαγνητική τομογραφία. Μπορεί να ανιχνεύσει την παρουσία οργανικών ενώσεων γύρω από τον ιστό του όγκου που μπορεί να ταυτοποιήσει τον ιστό ως φυσιολογικό ή ως παθολογικό (όγκο) και μπορεί επίσης να είναι σε θέση να πει εάν ο όγκος είναι ένας όγκος νευρογλοίας ή αν είναι νευρωνικής προέλευσης (που προέρχεται από νευρώνες ή νευρογλοιακά κύτταρα).
Βιοψία – χάρη στις πρόσφατες εξελίξεις στις νευροχειρουργικές τεχνικές, είναι τώρα δυνατή η ασφαλής βιοψία του Διάχυτου Διηθητικού
Γλοιώματος της Γέφυρας (όταν εκτελείται από παιδονευροχειρουργό με ειδική εμπειρία στην εκτέλεση βιοψιών για ΔΔΓΓ). Η δυνατότητα βιοψίας για το παιδί θα πρέπει να συζητηθεί μαζί σας και να αναλυθούν τα πιθανά οφέλη και οι κίνδυνοι. Όλα τα παιδιά που υποβάλλονται σε βιοψία στο Ηνωμένο Βασίλειο καλούνται επίσης να συμμετάσχουν στις συνεχιζόμενες ερευνητικές μελέτες που αφορούν τη γενετική ανάλυση των όγκων. Αυτές οι μελέτες ενδέχεται να οδηγήσουν σε εξατομικευμένη αντιμετώπιση.
Αφού ολοκληρωθούν όλες οι απαραίτητες εξετάσεις, τα αποτελέσματα αναλύονται από μία μεγάλη ομάδα ειδικών στους παιδιατρικούς όγκους του εγκεφάλου. Στη ομάδα συμμετέχουν παιδονευροχειρουργοί, παιδο-νευρο-ακτινολόγοι, παιδο-νευρο-παθολογοανατόμοι, παιδο-ογκολόγοι ακτινοθεραπευτές και άλλοι. Όλοι μαζί αναθεωρούμε και να συζητήτάμε τι έχουμε μάθει για την κατάσταση του παιδιού. Στη συνέχεια, θα συναντηθούμε μαζί σας και μαζί με όλη την οικογένειά για να συζητήσουμε τα αποτελέσματα και να περιγράψουμε τις καλύτερες επιλογές για το παιδί.
Ο παιδο-ογκολόγος συνήθως θα έχει τον πρωταρχικό ρόλο και θα καθορίσει μια συγκεκριμένη πορεία θεραπείας με βάση διάφορους παράγοντες, όπως:
- την ηλικία του παιδιού, τη γενική υγεία και το ιατρικό ιστορικό
- τον τύπο, τη θέση και το μέγεθος του όγκου
- την έκταση της νόσου του παιδιού σας
- την ανοχή του παιδιού σας για συγκεκριμένα φάρμακα, διαδικασίες ή θεραπείες
- την πιθανή εξέλιξη της νόσου
Υπάρχουν πολλές θεραπείες που μπορεί να προταθούν. Μερικές από αυτά βοηθούν στην αντιμετώπιση του όγκου ενώ άλλες προορίζονται για την αντιμετώπιση των επιπλοκών της νόσου ή των παρενεργειών της θεραπείας.
Η θεραπεία για τα Διάχυτα Διηθητικά Γλοιώματα της Γέφυρας μπορεί να περιλαμβάνει:
Ακτινοθεραπεία – Αυτή είναι η παραδοσιακή θεραπεία για νεοδιαγνωσθέντα ΔΔΓΓ. Χρησιμοποιεί ακτίνες υψηλής ενέργειας (ακτινοβολία) από μια εξειδικευμένη μηχανή για να καταστρέψει ή να σκοτώσει καρκινικά κύτταρα και να συρρικνωθεί ο όγκος. Η συμβατική ακτινοβολία περιορισμένου πεδίου έχει ανταπόκριση σε περισσότερο από το 90 τοις εκατό των παιδιών με ΔΔΓΓ. Αυτή η ανταπόκριση είναι συνήθως βραχυπρόθεσμη, ωστόσο, διαρκεί για περίπου έξι έως εννέα μήνες κατά μέσο όρο.
Έχουν διεξαχθεί αρκετές δοκιμές για την αύξηση της δόσης της ακτινοθεραπείας και καμία δεν έχει βελτιώσει την επιβίωση.
Πειραματική χημειοθεραπεία – Η χημειοθεραπεία και η βιολογική θεραπεία σε συνδυασμό με τη θεραπεία ακτινοβολίας διερευνώνται ενεργά για αυτή την πάθηση.
Δυστυχώς, η πλήρης χειρουργική αφαίρεση δεν αποτελεί επιλογή στη θεραπεία αυτών των όγκων, λόγω της θέσης τους στο εγκεφαλικό στέλεχος. Η χειρουργική επέμβαση σε αυτό το τμήμα του εγκεφάλου μπορεί να προκαλέσει σοβαρή νευρολογική βλάβη και να επηρεάσει τις πιο ζωτικές λειτουργίες του σώματος. Μόνο βιοψίες μπορούν να εκτελεστούν με ασφάλεια.
Αντιμετώπιση των παρενεργειών της θεραπείας
Οι ανεπιθύμητες ενέργειες στη θεραπεία του Διάχυτου Διηθητικού Γλοιώματος της Γέφυρας μπορεί να προκύψουν από τη βιοψία, την ακτινοβολία ή τη χημειοθεραπεία.
Οι διαδικασίες θα πρέπει να διεξάγονται σε εξειδικευμένα κέντρα όπου έμπειροι παιδονευροχειρουργοί, που εργάζονται στα πιο τεχνολογικά προηγμένα περιβάλλοντα, μπορούν να παρέχουν την πιο ακριβή μοριακή διάγνωση χωρίς να προκαλέσουν βλάβη στο φυσιολογικό εγκεφαλικό ιστό.
Η ακτινοθεραπεία παράγει συχνά μία φλεγμονή και οίδημα και μπορεί προσωρινά να επιδεινώσει τα συμπτώματα και τις νευρολογικές λειτουργείες. Για τον έλεγχο αυτής της φλεγμονής, είναι μερικές φορές απαραίτητα τα στεροειδή φάρμακα. Νέοι παράγοντες εξετάζονται τώρα που ελέγχουν το οίδημα που σχετίζεται με τον όγκο και την ακτινοβολία χωρίς να προκαλούν τις τυπικές παρενέργειες των στεροειδών.
Μερικοί από τους χημειοθεραπευτικούς παράγοντες σχετίζονται με κόπωση, διάρροια, δυσκοιλιότητα και κεφαλαλγία. Αυτές οι παρενέργειες μπορούν να αντιμετωπιστούν αποτελεσματικά στις περισσότερες των περιπτώσεων.
Πρόγνωση
Δυστυχώς, η πρόγνωση για τα ΔΔΓΓ παραμένει πολλή φτωχή, παρόλο που ένα μικρό ποσοστό των ασθενών επιβιώνουν από αυτή τη νόσο και οι νέες έρευνες σχετικά με τα ΔΔΓΓ μπορεί να αποτελέσουν το κλειδί για βελτιωμένες επιλογές θεραπείας.
Ο παίδο-ογκολόγος του παιδιού σας θα συζητήσει μαζί σας τις επιλογές θεραπείας, συμπεριλαμβανομένων πειραματικών κλινικών δοκιμών και υποστηρικτικής φροντίδας.
- Δυστυχώς η μέση συνολική επιβίωση για τους ασθενείς με ΔΔΓΓ είναι λιγότερη του 1 έτους (κυμαίνεται από 8-11 μήνες)
Η 2ετής επιβίωση είναι περίπου 10%.
Η 5ετής επιβίωση είναι περίπου 2%
Στα νοσοκομεία του Ηνωμένου Βασιλείου προσφέρεται μια σειρά πόρων και υπηρεσιών υποστήριξης για να σας βοηθήσει και τις οικογένειες καθ ‘όλη τη διάρκεια της θεραπείας του διάχυτου ενδογενούς γλοιώματος της Γέφυρας (ΔΔΓΓ). Το μαρτύριο, η αγωνία και ο πόνος της οικογένειας είναι τεράστια και πρέπει πάντα να παρέχεται όσο το δυνατόν περισσότερη υποστήριξη.
Όπου ενδείκνυται, η παιδιατρική ομάδα προχωρημένης φροντίδας προσφέρει υποστηρικτικές θεραπείες που αποσκοπούν στη βελτιστοποίηση της ποιότητας ζωής και στην προαγωγή της επούλωσης και της άνεσης για τα παιδιά με μια απειλητική για τη ζωή ασθένεια. Μπορεί επίσης να παράσχει ψυχοκοινωνική υποστήριξη και να βοηθήσει να φροντίσει στο τέλος της ζωής, αν είναι απαραίτητο.
Με πληροφορίες από: pediatric-neurosurgery.com


